« Ressonância Magnética em Neurologia de Animais de Companhia

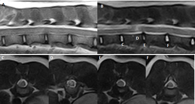
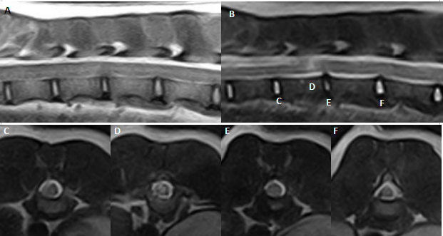
Art685_Fig9

Deixe uma resposta

O seu endereço de email não será publicado. Campos obrigatórios marcados com *